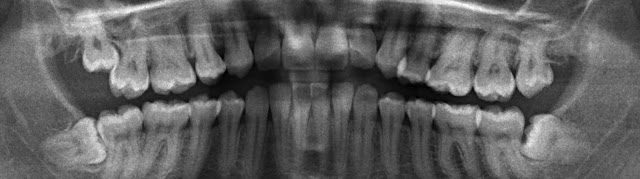
Idag när jag gick till tandläkaren trodde jag att jag skulle skrapa lite tandsten, konstatera att jag inte hade några hål och betala typ 500:- för det hela, som jag gör varje år när jag går till tandläkaren. Tyvärr blev det inte så. En liten dum visdomstand har nämligen stuckit fram sitt fula tryne på ett sätt att det är i princip omöjligt att komma åt och göra rent vilket har lett till ett hål (mitt första) med risk för spridning till nästa tand. För att utreda saken togs bilden ni ser ovan. Det här är en röntgenbild av mina tänder som tas genom att kameran snurrar runt hela huvudet. Den har jag betalat 970 DKK för och hela besöket slutade med att vara nästa tre gånger så dyrt som jag räknat med.
Men mottagningen var högteknologisk och de hade inte bara en ultraljudsgrej att ta bort beläggningar med utan även en tv monterad i taket ovanför tandläkarstolen. Så under hela behandlingen kunde jag kolla på sexistiska och kvinnoobjektifierande musikvideor.
Jag ska få en tid hos en specialist som ska operera bort den krånglande visdomstanden. På sikt får jag kanske ta bort de i underkäken också (som ligger helt snett) men jag tror jag väntar lite med det eftersom jag inte har några problem nu och kanske diskuterar saken med min svenska tandläkare också.
Medan jag väntar på en tid börjar jag samla in recept på soppor. Jag har redan spenatsoppa och potatissoppa med ädelost på menyn. Dessutom fick jag av Gabriel (när jag beklagade mig via twitter) det här tipset:
@ylvaemelia Fräs lök och potatis i småbitar, lägg i röda linser, vatten och buljongtärningar, koka i tjugo min.
— Gabriel Fjellander (@fjellander) March 13, 2013
Ni får gärna bidra mer era erfarenheter av att ta bort visdomständer, så att jag får en realistisk bild av hur hemskt det är, samt era bäst tips för hur man överlever med största njutning (minsta anti-njutning alltså).

Efter att dragit ut en visdomstand åkte jag till släkten i Stockholm över helgen. Alla bjöd på kött, sås och potatis. Jag åt mosad potais, sås och värktabletter.
SvaraRaderaSopptips: Champinjonsoppa på skogschampinjoner och grädde rekommenderas.
Lycka till! MammaAnna
Ja, större köttbitar får nog vänta ett tag. Har fått tid redan i morgon. Skönt att få det gjort.
Radera